2013.09.17 公開
2025.10.30 更新
慢性心不全
chronic heart failure
解説:三木 秀生 (済生会湯田温泉病院 内科部長)
慢性心不全はこんな病気
心臓は1日におよそ10万回、身体の隅々に血液を送り出すポンプの仕事をしています。このポンプが、脳・腎臓・肝臓等の臓器に十分な血液や栄養を送ることができなくなる状況が「心不全」です。これは心臓弁膜症、心筋梗塞、心筋症などのような心臓の病名ではなく、それに伴う症状を示すものです。病気が進行すると、動悸や息切れを感じるようになり、足や瞼(まぶた)の浮腫、肝臓の大きさが正常な範囲を超えて拡大する肝腫大や心拡大等が現れる場合に心不全と呼びます。さらにこの状態が長期間にわたって起こり、次第に進行するときの状態を「慢性心不全」といいます。

写真(1)大動脈弁狭窄症患者の浮腫んだ足の甲
写真(1)は、大動脈弁狭窄症患者さんの浮腫んだ足の甲です。指で押すと、大きくへこみます。太もも全体が浮腫んで歩けなくなり入院されました。投薬治療を行ない、およそ2週間でむくみが解消され、健康的な足に改善されました。

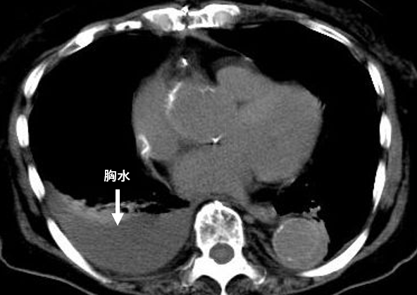
写真(2) 胸水患者のレントゲン写真
写真(2)は、僧帽弁閉鎖不全症により歩行時の息切れで入院した患者さんの胸部CTです。矢印が示すグレーの塊から、胸水が溜まっていることが分かります。
慢性心不全はすべての心疾患の終末的な病態で、生命予後(手術後などの、生命が維持できるかどうかについての予測)は極めてよくありません。慢性心不全は、症状・聴診・心電図・胸部レントゲンやCT・BNP検査で総合的に評価して治療を行ないます。BNP(脳性ナトリウム利尿ペプチド)は心臓に負担がかかると心室から分泌されるホルモンなので、その値から心不全の評価に用いられますが、この値で一喜一憂する必要はありません。また、同じく心臓に負担がかかると分泌されるNT‐proBNPの値は、腎機能に大きく影響を受けるのでBNPの値と乖離しやすく、過大評価に注意しなければなりません。
予防の基礎知識
心不全の予防法として、基本的に食事療法・運動療法・禁煙・減酒を行なうことはいうまでもありませんが、主治医の指示通り薬を服用することが大切です。服薬の中断は増悪(ぞうあく=病状などがさらに悪化すること)の原因の一つであり、服薬を守ることは治療成功のカギとなります。また、症状悪化の前触れがあれば、早めに主治医に相談しましょう。その症状とは、“息切れがする”、“呼吸が苦しい”、“胸が苦しい”、“動悸がする”、“尿が少ない”、“足がむくむ”、“食欲不振や吐き気”、“腹部膨満感”などが主なものです。
このほかに毎日の体重測定(毎朝、排尿後)はとても重要で、短期間での体重増加は体液貯留を見る上で有用です。日単位で体重が2kg以上増加するような場合は、心不全の急性増悪が考えられますので注意が必要です。増悪が疑われた場合は、無理をせず食塩制限を厳しくするとともに速やかに受診しましょう。高齢患者は浮腫などの症状に気づきにくいので、家族あるいは介護者による注意が必要です。
生活上での注意点
・軽症心不全患者の食事
軽症心不全では厳格なナトリウム制限は不要で、1日およそ7g以下程度の減塩食とします。高齢者は過度のナトリウム制限が食欲を低下させ栄養不良となるため、味付けには適宜調節が必要です。肥満があれば、減量のためのカロリー制限が必要です。高齢者の場合、過度なカロリー制限は筋肉量が減少しがちですのでご注意ください。
・旅行時の移動手段
航空機旅行、高地あるいは高温多湿な地域への旅行は注意が必要です。一般的には、短時間の航空機旅行は他の交通機関による旅行よりも好ましいといえます(移動時間が短いため)。しかし、長時間の航空機旅行は重度の心不全では増悪のリスクが高く、お勧めできません。どうしても航空機旅行が必要な場合には、飲水量の調節や利尿薬の適宜使用と軽い体操が必要です。
・ワクチンの接種
心不全患者の方がインフルエンザなどの感染症を発症すると、重症化しやすく、心不全の悪化など命に関わる可能性もあります。
すべての心不全患者さん、特に重症の方は病因によらずインフルエンザに対するワクチンを受けることが望ましいです。
・喫煙、過度な飲酒は避けるべき
喫煙はあらゆる心疾患の危険因子であり、心不全患者においては禁煙により、死亡率や再入院率が減るといわれています。アルコール性心筋症が疑われる場合は禁酒が不可欠ですが、そうでない方も適切な飲酒習慣に努め、大量飲酒を避けることが必要です。
・浮腫症状がある際の注意
浮腫のある急性増悪時には運動は行なわず、活動を制限し、安静にすることが必要です。しかし治療によって病状が安定している時は、安静は運動に耐える力を低下させるとともに労作時の疲れやすさが出やすくなり、呼吸困難等の症状を悪化させます。その上、下肢の筋力やバランス機能が低下し、歩行や階段昇降などの移動動作が制限され、容易に転倒しやすくなります。その結果、排泄(はいせつ)行動のほか家事や社会活動など、患者の日常生活全般に影響を及ぼします。
・適切な入浴法で症状を軽減
慢性心不全患者であっても、適切な入浴法を用いることでむしろ負荷の軽減効果があり、症状が改善します。熱いお湯のお風呂は交感神経を緊張させるためよくありません。また深く湯につかると心臓に負担がかかるので、温度は40~41℃とし、鎖骨下までの深さの半座位浴で時間は10分以内がよいとされます。気温が下がってくると、脱衣所と浴室の温度差にも注意をして下さい。
早期発見のポイント
慢性心不全になると、息切れや脱力感など全身にさまざまな症状が現れて、日常生活に支障が生じてきます。代表的な症状は、動悸・動作時の息切れ・呼吸困難・身体のむくみ・体重増加などです。さらに悪化すれば、夜間に急に息が苦しくなって目が覚めたり、じっとしていても息が切れることもあります。このような症状の出現により、日常生活が著しく障害されます。また危険な不整脈の出現も高頻度にみられ、突然死の頻度も高いといわれます。

解説:三木 秀生
済生会湯田温泉病院
内科部長
※所属・役職は本ページ公開当時のものです。異動等により変わる場合もありますので、ご了承ください。
※診断・治療を必要とする方は最寄りの医療機関やかかりつけ医にご相談ください。
済生会の理念
施設と拠点
症状別病気解説
お知らせ
採用情報
トピックス












